Treatments
Explore our orthodontic solutions for adults and children.
Aligners
Prices from £3000
Options:
Invisalign®
32Co®
Fixed Braces
Prices from £3500
Options:
Traditional metal brackets
Iconix® champagne brackets
Functional/Removable Appliances
Prices from £250
These are case specific and would be discussed in detail at your treatment planning appointment.


What can orthodontics improve?
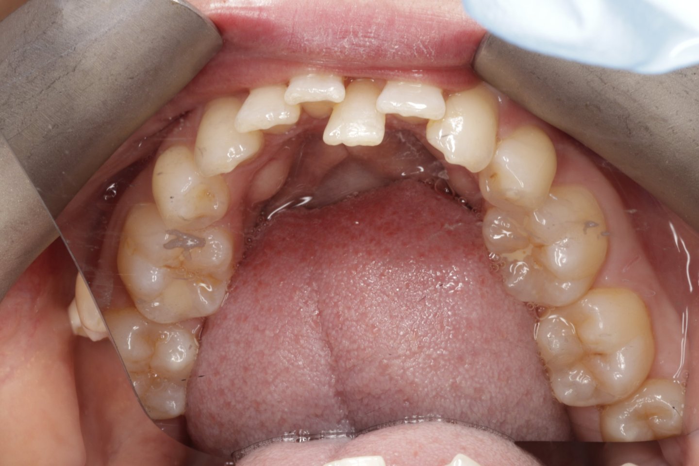
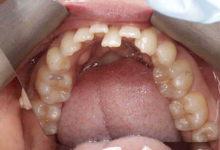
Crowding
Crowding can make cleaning between teeth difficult. Crowding generally increases with time, so you may notice your once straight teeth becoming crooked.
Overbite
A deep bite (increased overbite) can result in uneven wear of the front teeth. The wear can be restored with white filling material after reducing the deep bite. If you have fillings on the front teeth that keep breaking, this could be why.
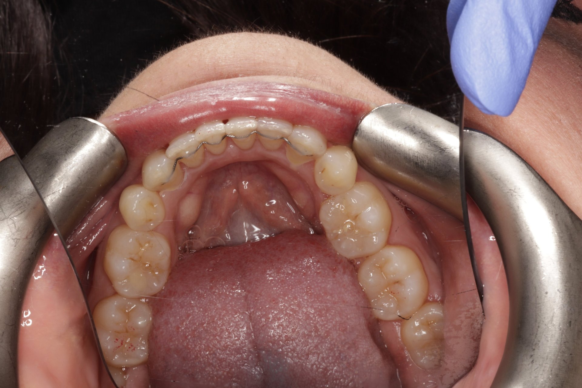
Overjet or lack of
An overjet is the horizontal clearance between the top and bottom teeth. This patient was experiencing multiple painful episodes from a failing bridge at the front of her mouth. Long term she was looking at replacing the bridge with implants, however, a reduced overjet meant that space would have been limited. Here, we extracted a lower incisor to reduce the crowding and increase the overjet. This reduced the heavy bite on the front bridge which stopped the painful episodes. As you can see, they were also much easier to clean.
Spacing
Orthodontic closure of space is a long lasting, low maintenance way of improving your smile. Other alternatives would be composite bonding or veneers but these would need replacing periodically.
Marshall Orthodontics
Orthodontic treatments for all ages available.
© 2026. All rights reserved.
