Happy Smiles
Aligner case 1
This patient in their early 30s didn't like how her crowded lower incisor could be seen when she was talking. Initially, she asked if it could be filed down as it looked longer. I reassured her that once the crowding was managed, the tooth would be the same level as the others. Treatment took around 9 months using Invisalign. Fixed retainers were placed after treatment to reduce the risk of the teeth moving back








Fixed case 1
This teenage patient didn't quite qualify for NHS treatment had fixed braces with me on a private basis. After approximately 9 months, the fixed braces were removed and fixed retainers placed.
















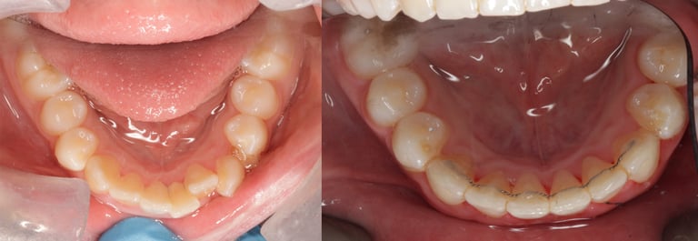
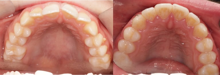
Aligner Case 2
This patient attended on referral from her implantologist. She had a bridge replacing her front tooth that was getting repeated swellings. Initial planning revealed a lack of space to place the implants due to the extent of the lower crowding. Treatment involved the extraction of a lower incisor and 9 months of Invisalign treatment. After treatment, the patient reported no further episodes of pain, likely due to reduced biting forces on the bridge.
Fixed brace case 2
This teenage patient was tired of waiting for their NHS appointment. I used fixed braces to bring the top left canine down and align the teeth. An interesting nuance to this case was a double rooted canine! A very rare occurrence. A small composite filling was placed on the upper left lateral incisor to restore uneven wear that had occurred due eto the existing bite. Treatment was completed in 12months.












Fixed brace case 3
This teenage patient was concerned their top left canine would never come down. After full clinical and radiographic assessment, it was determined the rotation of the premolar was stopping the canine from erupting. Using fixed braces and elastics, the premolar was derotated and the canine began to erupt! On the right side, a retained baby tooth was not coming out due to the premolar being off course. Fixed braces while the premolar erupted allowed it to be brought into the arch as treatment progressed.
Early intervention in ths case reduced treatment time for the patient and avoided any extractions being required.














Fixed brace case 4
This teenage patient was tired of waiting for their NHS appointment. Initially the teeth were aligned with fixed braces and then a removable appliance was used to change the position of the molar teeth to improve the bite. This reduced the need for extractions and will provide long term stability. There is some mild gum inflammation present as the post operative photos were taken immediately after removing the brace. After a couple of weeks, this returned to normal.




Fixed brace case 4
This teenage patient was concerned about their crooked teeth. With NHS waiting times at over 2 years, the patient's parents wanted to explore private options.
By using a fixed brace on the upper and lower teeth, we were able to massively improve the patient's smile within 18 months.






Marshall Orthodontics
Orthodontic treatments for all ages available.
© 2026. All rights reserved.
